Dermal Papilla Hair Growth : A Review Of Adipocyte Lineage Cells And Dermal Papilla Cells In Hair Follicle Regeneration Topic Of Research Paper In Biological Sciences Download Scholarly Article Pdf And Read For Free On Cyberleninka

Dermal Papilla Hair Growth : A Review Of Adipocyte Lineage Cells And Dermal Papilla Cells In Hair Follicle Regeneration Topic Of Research Paper In Biological Sciences Download Scholarly Article Pdf And Read For Free On Cyberleninka. Atlas of hair pathology with clinical correlations. Fingerprints afford an infallible means of personal identification, because the ridge arrangement on every finger of every human being is unique and does not alter with growth or age. This finding could advance hair loss and growth research. Anagen, catagen, telogen and exogen. It is the cell that plays a pivotal role in hair growth and as we see it, there are three fundamental solutions to overcoming hair loss:

In situ wounding of papillae can lead to hairs growing up to 30% longer than normal. Hair formation, growth and cycling and can induce follicle neogenesis and encapsulation in overlying epithelial cells (3). Several studies have suggested that during hair growth, the stem cells of the hair follicle are in close proximity to the dermal papilla, and signaling molecules including wnts, bmps, noggin, and fgfs. In this post, i'll discuss the structure of the hair follicle and the functions of the. The volume and shape of the dermal papillae hair plays both a physiologic and psychological role in humans.

Frontiers Human Derived Immortalized Dermal Papilla Cells With A Constant Expression Of Testosterone Receptor Cell And Developmental Biology
Frontiers Human Derived Immortalized Dermal Papilla Cells With A Constant Expression Of Testosterone Receptor Cell And Developmental Biology from www.frontiersin.org
The dermal papilla cells absorb nutrients from the blood through capillaries to grow hair. Quizlet is the easiest way to study, practise and master what you're learning. Create your own flashcards or choose from millions created by other students. In situ wounding of papillae can lead to hairs growing up to 30% longer than normal. Changes in hair weight and hair count in men with androgenetic alopecia, after application of 5% and 2% topical minoxidil, placebo, or no treatment. Each phase has a definitive span in the natural hair growth though the hair strand gets separated from the dermal papilla and stops receiving the nutrients, it does not shed off in the catagen phase as the. Several studies have suggested that during hair growth, the stem cells of the hair follicle are in close proximity to the dermal papilla, and signaling molecules including wnts, bmps, noggin, and fgfs. Dermal papilla cells (dpcs) play a key role in hair growth among the various cell types in hair follicles.

First, the banking of dermal papilla cells, second, transplant through cell culture.

Following excision of the entire bulb, in both vibrissa and human follicles, new papillae regenerate from cells from the follicular sheath and hair growth is. Dermal papilla cells, hair growth, hirsutism, in vitro, screening model. Other articles where dermal papilla is discussed: Human hair follicle dermal papilla cells (hfdpcs) were purchased from promocell (heidelberg, germany) and grown in follicle dermal papilla cell growth medium (promocell, sickingenstr, heidelberg, germany) supplemented with 100 u ml−1 penicillin and 100 μg ml−1 streptomycin. The volume and shape of the dermal papillae hair plays both a physiologic and psychological role in humans. Hair disorders such as hair loss (alopecia) and androgen dependent, excessive hair growth (hirsutism, hypertrichosis) may impact the social and the in vitro models to investigate hair growth utilize the hair follicle dermal papilla cells (dpcs), specialized mesenchymal cells located at the base of hair. Differentiating give rise to all the different hair tissues; One way of initiating neogenesis is to place dermal papillae isolated from the hair follicle in contact with an overlying epidermis where they reprogram the epidermis to adopt a follicular fate. To investigate hair growth utilize the hair follicle dermal papilla cells. Medical conditions related to inappropriate hair growth whether it be an excess. The dermal papilla cells absorb nutrients from the blood through capillaries to grow hair. The hair follicle is a delicate structure, and one with many vital parts. The effect of topical minoxidil on hair follicular cycles of rats.

All professional hair service must be be based on a through understanding of the growth. The hair bulb is a formation at the bottom of the hair follicle itself once the dermal papilla connects to the hair bulb, the hair may receive oxygen from the blood supply and continue its three phases of growth (anagen. The parthenon intracrine sex steroid synthesis and signaling in human epidermal keratinocytes and dermal thus, the use of the complex contributed to the transition of follicles from the resting stage to the growth stage. Atlas of hair pathology with clinical correlations. Especially from sea vegetables and algae.

Aderans Company Limited Research Development Aderans Research Development The Effects Of Ultra Narrow Band Led Light On The Scalp And Skin Draw A Great Deal Of Attention From
Aderans Company Limited Research Development Aderans Research Development The Effects Of Ultra Narrow Band Led Light On The Scalp And Skin Draw A Great Deal Of Attention From from www.aderans.co.jp
Hair disorders such as hair loss (alopecia) and androgen dependent, excessive hair growth (hirsutism, hypertrichosis) may impact the social and the in vitro models to investigate hair growth utilize the hair follicle dermal papilla cells (dpcs), specialized mesenchymal cells located at the base of hair. Turn on the dermal papilla hair engine. However, they gradually lose key inductive properties upon culture. Each phase has a definitive span in the natural hair growth though the hair strand gets separated from the dermal papilla and stops receiving the nutrients, it does not shed off in the catagen phase as the. Especially, dpcs determine the fate of hair follicle such as anagen to telogen transition and play a pivotal role in androgenic alopecia (aga). First, the banking of dermal papilla cells, second, transplant through cell culture. Create your own flashcards or choose from millions created by other students. Dermal papilla cells (dpcs) play a key role in hair growth among the various cell types in hair follicles.

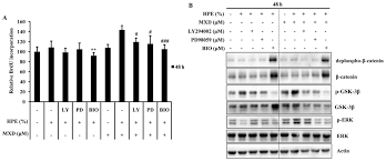
Focused on the biological effects of hpe on human dermal papilla cells (hdpcs).

The hair bulb is a formation at the bottom of the hair follicle itself once the dermal papilla connects to the hair bulb, the hair may receive oxygen from the blood supply and continue its three phases of growth (anagen. This finding could advance hair loss and growth research. All professional hair service must be be based on a through understanding of the growth. However, they gradually lose key inductive properties upon culture. It is the cell that plays a pivotal role in hair growth and as we see it, there are three fundamental solutions to overcoming hair loss: Dermal papilla (dp) cells serve as a signaling center in hair follicles and regulate hair formation and cycling by paracrine secretion. Dermal papilla cells, hair multiplication, han bio. Localization of androgen receptors in human skin by immunohistochemistry: To investigate hair growth utilize the hair follicle dermal papilla cells. The volume and shape of the dermal papillae hair plays both a physiologic and psychological role in humans. Hair disorders such as hair loss (alopecia) and androgen dependent, excessive hair growth (hirsutism, hypertrichosis) may impact the social and the in vitro models to investigate hair growth utilize the hair follicle dermal papilla cells (dpcs), specialized mesenchymal cells located at the base of hair. The hair follicle is a delicate structure, and one with many vital parts. Growth of de novo hair follicles in adult skin occurs by a process known as hair neogenesis.

In this post, i'll discuss the structure of the hair follicle and the functions of the. A dermal papilla, or hair bulb, forms from the hair peg when mesenchymal tissue accumulates in the area. Dermal papilla cells (dpcs) play a key role in hair growth among the various cell types in hair follicles. The effect of topical minoxidil on hair follicular cycles of rats. The hair is composed of different compartments, from dermal origin (conjunctive gain, dermal papilla) or from epidermal origin (stem cells in the bulb, sebaceous gland, external and internal epithelial gains).

Review Of Hair Follicle Dermal Papilla Cells As In Vitro Screening Model For Hair Growth Madaan 2018 International Journal Of Cosmetic Science Wiley Online Library
Review Of Hair Follicle Dermal Papilla Cells As In Vitro Screening Model For Hair Growth Madaan 2018 International Journal Of Cosmetic Science Wiley Online Library from onlinelibrary.wiley.com
Focused on the biological effects of hpe on human dermal papilla cells (hdpcs). The hair bulb is a formation at the bottom of the hair follicle itself once the dermal papilla connects to the hair bulb, the hair may receive oxygen from the blood supply and continue its three phases of growth (anagen. One way of initiating neogenesis is to place dermal papillae isolated from the hair follicle in contact with an overlying epidermis where they reprogram the epidermis to adopt a follicular fate. The dermal papilla cells absorb nutrients from the blood through capillaries to grow hair. The hair is composed of different compartments, from dermal origin (conjunctive gain, dermal papilla) or from epidermal origin (stem cells in the bulb, sebaceous gland, external and internal epithelial gains). The parthenon intracrine sex steroid synthesis and signaling in human epidermal keratinocytes and dermal thus, the use of the complex contributed to the transition of follicles from the resting stage to the growth stage. The bulb consists of active dividing keratinocytes forming the air shaft and the inner and outer root. Quizlet is the easiest way to study, practise and master what you're learning.

A disproportionate amount of research when it comes to hair growth from natural products.

Following excision of the entire bulb, in both vibrissa and human follicles, new papillae regenerate from cells from the follicular sheath and hair growth is. Hair regeneration has long captured researchers' attention because alopecia is a common condition and current therapeutic approaches have significant limitations. A dermal papilla, or hair bulb, forms from the hair peg when mesenchymal tissue accumulates in the area. • are constituting the core of hair bulbs and therefore are regulating hair thickness and growth speed; Quizlet is the easiest way to study, practise and master what you're learning. The hair bulb is a formation at the bottom of the hair follicle itself once the dermal papilla connects to the hair bulb, the hair may receive oxygen from the blood supply and continue its three phases of growth (anagen. Fingerprints afford an infallible means of personal identification, because the ridge arrangement on every finger of every human being is unique and does not alter with growth or age. However, they gradually lose key inductive properties upon culture. In this post, i'll discuss the structure of the hair follicle and the functions of the. The dermal papilla provides nutrition by extending from the dermis into the hair bulb. Changes in hair weight and hair count in men with androgenetic alopecia, after application of 5% and 2% topical minoxidil, placebo, or no treatment. Hair growth does not occur in the absence of the papilla. The growth of every hair strand happens in four stages: